小鼠胚胎干细胞 mES-1(23010)
细胞类型:
胚胎干细胞
物 种:
小鼠
代 次:
~12
细 胞 量 :
可复苏至6孔板的1个孔(~10cm2)
样本规格:
0.5mL/支
生长特征:
贴壁
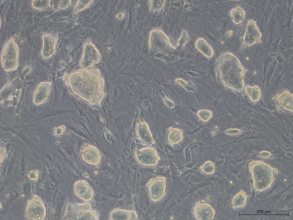
| 细胞描述 | 具有多能性,可以分化为三个胚层的代表细胞 |
| 来源 | 来源于正常受精的3.5天的囊胚分离获得 |
| 核型 | 40,XY |
| 形态特征 | 细胞紧密排列成岛状、隆起的克隆形态,细胞间界限不清 |
| 生理/病理来源 | 生理 |
| 相关标志物 | 多能性标志物表达阳性,碱性磷酸酶活性阳性 |
|
培养条件 |
37℃,5% CO2的培养箱 |
|
支原体检测 |
阴性 |
| 储存条件 |
≤-150℃ |
| 保藏单位 |
国家干细胞资源库 |
| 联系方式 |
电话:17200307905(同微信) 邮箱:nscrc@ioz.ac.cn |
附件下载: