小鼠肺细胞 mLung-24011
细胞类型:
体细胞
物 种:
小鼠
代 次:
~1
细 胞 量 :
~1X106/支
样本规格:
0.5mL/支
生长特征:
贴壁
| 细胞描述 | 是研究肺脏生理和疾病的重要细胞模型 |
| 来源 | 来源于C57小鼠肺组织分离获得 |
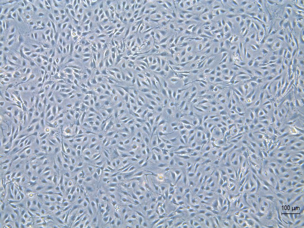
| 形态特征 | 呈长梭型或不规则三角形,中央有卵圆形核,胞质突起,具有较强的分裂增殖能力 |
| 生理/病理来源 | 生理 |
| 相关标志物 | 能表达上皮细胞标志物AQP1、SGLT2 |
|
培养条件 |
37℃,5% CO2的培养箱 |
|
支原体检测 |
阴性 |
| 储存条件 |
≤-150℃ |
| 保藏单位 |
国家干细胞资源库 |
| 联系方式 |
电话:17200307905(同微信) 邮箱:nscrc@ioz.ac.cn |
附件下载: